About Us

At Ivory Dental, Vidyaranyapura, our team of expert dentists and caring support staff is dedicated to delivering compassionate and high-quality dental care that prioritizes your comfort and confidence.

Location

461, HMT Layout 3rd Block, Vidyaranyapura, Bengaluru, Karnataka 560097

Contact Us

77606 05222

logo
Mon - Sat 10.00 am - 8.00 pm
IVORY DENTAL - Vidyaranyapura, Bangalore

Smile Makeover

  • Home
  • Smile Makeover
Image

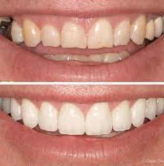
Smile Makeover

A smile makeover is a combination of cosmetic dental treatments designed to enhance the appearance of your teeth and gums. It may include whitening, veneers, bonding, braces, or implants depending on your needs. The goal is to create a balanced, beautiful, and confident smile tailored just for you.

Key Features:

  • Customized Treatment : Designed to match your unique smile goals.
  • Whitening & Veneers : Brightens and reshapes your teeth.
  • Alignment Correction : Straightens crooked or uneven teeth.
  • Gum Contouring: Balances the gum line for a perfect look.
Image

Why It Matters:

Your smile is one of the first things people notice. A smile makeover not only improves aesthetics but also boosts confidence, leaving a lasting impression in personal and professional interactions.